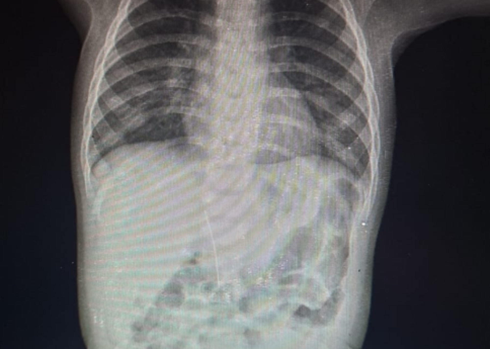
В инфекционное отделение Туркестанской городской центральной больницы был доставлен 8-месячный ребёнок с подозрением на краснуху. Врачи провели рентгенологическое исследование и обнаружили в брюшной полости малыша иглу, передаёт Tengrinews.kz.
Об этом накануне сообщила пресс-служба управления здравоохранения Туркестанской области.
Как выяснилось, беспокойство ребёнка и повышение температуры тела были вызваны не инфекцией, а именно воздействием инородного предмета.
По словам врачей, игла попала в организм не через пищеварительный тракт. Она проникла со стороны печени. Мать ребёнка отметила, что малыш не мог самостоятельно проглотить её.

Фото предоставлено управлением здравоохранения региона
Врачи Туркестанской городской центральной больницы и Туркестанской детской городской больницы совместно провели экстренную операцию и все необходимые лечебные мероприятия. В настоящее время ребёнок идёт на поправку, пояснили в ведомстве.
Ранее в детскую клиническую больницу Шымкента с сильными болями в животе доставили 3-летнего ребёнка, медработники обнаружили у него 16 проглоченных магнитов. После проведения соответствующих медицинских обследований была выполнена экстренная операция. Врачи полностью удалили инородные тела из организма с помощью эндоскопического грассера.