Казахстанские врачи проникли в сердце пациента через Интернет

ПОДЕЛИТЬСЯ

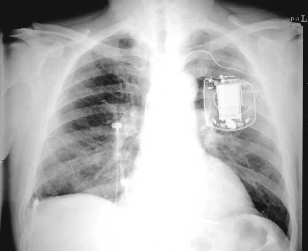
Казахстанские врачи проникли в сердце пациента через Интернет Фото с сайта vestar.ru

Казахстанские врачи проникли в сердце пациента через Интернет, сообщает Tengrinews.kz. Специалисты Республиканского научного центра неотложной медицинской помощи Национального медицинского холдинга провели уникальную операцию. Больному со сложным нарушением ритма сердца врачи имплантировали кардиостимулятор с функцией дистанционного мониторинга. Как сообщила 27 апреля 2011 года пресс-служба Национального медицинского холдинга, имплантированный прибор обладает функцией "Home Monitoring", суть которой заключается в возможности следить за состоянием пациента на расстоянии посредством Интернета, что облегчает взаимодействие между пациентом и врачом. Операцию проводил врач-аритмолог Адиль Баимбетов, специализирующийся на интервенционном лечении нарушений ритма сердца. В сообщении пресс-службы отмечается, что в 2011 году в Республиканском научном центре неотложной медицинской помощи планируется внедрение новых методов интервенционного лечения нарушений ритма сердца, таких как криоаблация, радиочастотная аблация очагов аритмий в сердце, навигационные системы в диагностике и лечении тахиаритмий. На сегодня в центре успешно проведены более 60 имплантаций различных антиаритмических и кардиоресинхронизирующих устройств.


Казахстанские врачи проникли в сердце пациента через Интернет, сообщает Tengrinews.kz. Специалисты Республиканского научного центра неотложной медицинской помощи Национального медицинского холдинга провели уникальную операцию. Больному со сложным нарушением ритма сердца врачи имплантировали кардиостимулятор с функцией дистанционного мониторинга. Как сообщила 27 апреля 2011 года пресс-служба Национального медицинского холдинга, имплантированный прибор обладает функцией "Home Monitoring", суть которой заключается в возможности следить за состоянием пациента на расстоянии посредством Интернета, что облегчает взаимодействие между пациентом и врачом. Операцию проводил врач-аритмолог Адиль Баимбетов, специализирующийся на интервенционном лечении нарушений ритма сердца. В сообщении пресс-службы отмечается, что в 2011 году в Республиканском научном центре неотложной медицинской помощи планируется внедрение новых методов интервенционного лечения нарушений ритма сердца, таких как криоаблация, радиочастотная аблация очагов аритмий в сердце, навигационные системы в диагностике и лечении тахиаритмий. На сегодня в центре успешно проведены более 60 имплантаций различных антиаритмических и кардиоресинхронизирующих устройств.
Tengrinews
Читайте также

Курс валют

 471.06   546.68   6.61 

 

Погода

Алматы
А
Алматы +17
Астана +20
Актау +21
Актобе +23
Атырау +27
Б
Балхаш +26
Ж
Жезказган +18
К
Караганда +19
Кокшетау +26
Костанай +24
Кызылорда +9
П
Павлодар +19
Петропавловск +12
С
Семей +13
Т
Талдыкорган +18
Тараз +24
Туркестан +25
У
Уральск +9
Усть-Каменогорск +17
Ш
Шымкент +18

 

Редакция Реклама
Социальные сети