Британец ходил со сломанной ногой 29 лет

ПОДЕЛИТЬСЯ

Британец ходил со сломанной ногой 29 лет

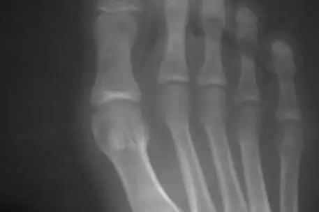
49-летний британец Стив Вебб (Steve Webb) на протяжении 29 лет ходил со сломанной ногой, сообщает The Telegraph. Вебб сломал ногу, когда попал в аварию на мотоцикле в 20-летнем возрасте. Британец все эти годы страдал от боли, но только недавно узнал, что у него сломана нога. Он прошел обследование в госпитале. Вебб испугался, что ногу ампутируют. Однако врачи заверили, что ему сделают операцию по удлинению атрофировавшейся кости на шесть сантиметров. По словам британца, это экстраординарный случай, поскольку на протяжении этих лет врачи говорили ему, что нога зажила и перелома нет. Вебб ходил с металлической пластиной в ноге, а в прошлом году почувствовал резкую боль. Когда пластину убрали, то выяснилось, что кость все еще сломана. Шансы на успех операции, которую проведут в ортопедическом центре Наффилд (Nuffield) в Оксфорде, составляют 99 процентов. Man had broken leg for 29 years - The Telegraph, 15.06.2009 Больница Nuffield.


49-летний британец Стив Вебб (Steve Webb) на протяжении 29 лет ходил со сломанной ногой, сообщает The Telegraph. Вебб сломал ногу, когда попал в аварию на мотоцикле в 20-летнем возрасте. Британец все эти годы страдал от боли, но только недавно узнал, что у него сломана нога. Он прошел обследование в госпитале. Вебб испугался, что ногу ампутируют. Однако врачи заверили, что ему сделают операцию по удлинению атрофировавшейся кости на шесть сантиметров. По словам британца, это экстраординарный случай, поскольку на протяжении этих лет врачи говорили ему, что нога зажила и перелома нет. Вебб ходил с металлической пластиной в ноге, а в прошлом году почувствовал резкую боль. Когда пластину убрали, то выяснилось, что кость все еще сломана. Шансы на успех операции, которую проведут в ортопедическом центре Наффилд (Nuffield) в Оксфорде, составляют 99 процентов. Man had broken leg for 29 years - The Telegraph, 15.06.2009 Больница Nuffield.
Tengrinews
Читайте также

Курс валют

 469.92   546.77   6.43 

 

Погода

Алматы
А
Алматы +25
Астана +23
Актау +15
Актобе +30
Атырау +28
Б
Балхаш +28
Ж
Жезказган +23
К
Караганда +23
Кокшетау +28
Костанай +33
Кызылорда +18
П
Павлодар +23
Петропавловск +16
С
Семей +26
Т
Талдыкорган +26
Тараз +32
Туркестан +32
У
Уральск +16
Усть-Каменогорск +33
Ш
Шымкент +24

 

Редакция Реклама
Социальные сети