Никакого иммунитета от COVID-19 у людей нет - Абаев Никакого иммунитета от COVID-19 у людей нет - Абаев Министр информации и общественного развития Даурен Абаев прокомментировал распространяемую в Сети информацию о том, что якобы у 70 процентов
29 марта 2020 16:59
Как ходить в магазин, чтобы не заразиться коронавирусом Как ходить в магазин, чтобы не заразиться коронавирусом Как ходить в продуктовый магазин, чтобы не заразиться коронавирусной инфекцией, рассказал президент союза медицинского сообщества "Национальная
29 марта 2020 12:55
Сроки выживания коронавируса на поверхностях назвали ученые Сроки выживания коронавируса на поверхностях назвали ученые Ученые университета Гонконга установили, что коронавирус остается высокостабильным в течение длительного периода времени при температуре, начиная
29 марта 2020 09:06
Биолог оценила российский препарат от коронавируса Биолог оценила российский препарат от коронавируса Доктор биологических наук, профессор Школы системной биологии GMU (США) Анча Баранова оценила российский препарат от коронавируса, передает
29 марта 2020 07:47
Ученые показали видео, как коронавирус поражает легкие Icon Ученые показали видео, как коронавирус поражает легкие Американские доктора из университета Джорджа Вашингтона использовали технологию виртуальной реальности, чтобы показать, как коронавирус поражает
27 марта 2020 13:37
Названа резко осложняющая коронавирус болезнь Названа резко осложняющая коронавирус болезнь Заболевания сердечно-сосудистой системы почти в 4,5 раза увеличивают смертность от коронавируса. Соответствующее исследование китайских специалистов
27 марта 2020 09:29
"Риск повторного заражения". Комаровский ответил на главный вопрос о коронавирусе Icon "Риск повторного заражения". Комаровский ответил на главный вопрос о коронавирусе Украинский врач-педиатр Евгений Комаровский ответил на очередную порцию вопросов о коронавирусе. Видео с ответами появилось на его YouTube-канале
27 марта 2020 07:50
Доктор рассказал, как укрепить легкие во время пандемии Icon Доктор рассказал, как укрепить легкие во время пандемии Врач-ревматолог, академик российской Академии медико-технических наук Павел Евдокименко рассказал, как уберечь легкие и укрепить иммунитет в
27 марта 2020 03:44
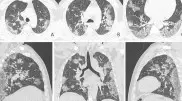
"Матовое стекло". Как развивается пневмония у инфицированных COVID-19 Icon "Матовое стекло". Как развивается пневмония у инфицированных COVID-19 Telegram-канал Baza опубиковал материал, в котором просто и понятно описал, как именно у инфицированных COVID-19 развивается пневмония
26 марта 2020 21:15
Платные экспресс-тесты на коронавирус появятся в Казахстане Платные экспресс-тесты на коронавирус появятся в Казахстане У казахстанцев появится возможность сделать экспресс-тест на коронавирус платно, сообщила глава Комитета контроля качества и безопасности товаров
26 марта 2020 13:39
Важнее мыть руки, чем улицы. Новое видео Комаровского о коронавирусе Icon Важнее мыть руки, чем улицы. Новое видео Комаровского о коронавирусе Известный доктор Евгений Комаровский опубликовал новые ответы на вопросы о коронавирусе, передает  Tengrinews.kz. Видео с советами врача
26 марта 2020 09:25
"Паниковать не надо". Что известно о хантавирусе "Паниковать не надо". Что известно о хантавирусе Что известно о хантавирусе и почему казахстанцам не стоит переживать - в материале Tengrinews.kz.
25 марта 2020 14:53
Врач рассказала о старинном методе, который защитит от коронавируса Врач рассказала о старинном методе, который защитит от коронавируса Врач-терапевт Лариса Алексеева в интервью "Вечерней Москве" рассказала о необычном способе профилактики коронавируса. Речь идет о мытье носа
24 марта 2020 07:36
Препарат от COVID-19 успешно прошел испытания Icon Препарат от COVID-19 успешно прошел испытания Французские ученые сообщили, что противомалярийный препарат гидроксихлорохин в сочетании с антибиотиком азитромицином оказался крайне эффективным
23 марта 2020 23:08
Фармацевт назвала состав идеального антисептика от коронавируса Фармацевт назвала состав идеального антисептика от коронавируса Фармацевт из Испании Мар Сиейра в интервью местной газете La Vanguardia назвала состав идеального антисептика от коронавируса, сообщает Tengrinews.kz
22 марта 2020 20:41
Комаровский записал новое видео с ответами про коронавирус Комаровский записал новое видео с ответами про коронавирус Известный украинский педиатр Евгений Комаровский ответил на вопросы о коронавирусе в очередном выпуске на своем канале в Youtube, передает Tengrinews.kz.
22 марта 2020 09:49
Убивает ли водка коронавирус, рассказала врач Убивает ли водка коронавирус, рассказала врач Врач-дерматолог Марина Горностаева рассказала, каким антисептиком следует пользоваться и почему для этого не годится водка, сообщает РИА
22 марта 2020 01:51
Вирусолог озвучил новые симптомы COVID-19 Вирусолог озвучил новые симптомы COVID-19 Немецкий вирусолог Хендрик Штреек в интервью газете Frankfurter Allgemeine Zeitung рассказал о новых симптомах вируса COVID-19, о
20 марта 2020 20:53
Пандемия коронавируса: 99 процентов умерших в Италии имели серьезные болезни Пандемия коронавируса: 99 процентов умерших в Италии имели серьезные болезни Согласно исследованию Министерства здравоохранения Италии, более 99 процентов людей, скончавшихся от коронавируса в стране, страдали от других
20 марта 2020 17:40

Курс валют

 463.09   541.61   6.19 

 

Погода

Алматы
А
Алматы +22
Астана +17
Актау +15
Актобе +14
Атырау +22
Б
Балхаш +21
Ж
Жезказган +16
К
Караганда +16
Кокшетау +15
Костанай +22
Кызылорда +17
П
Павлодар +14
Петропавловск +19
С
Семей +23
Т
Талдыкорган +15
Тараз +18
Туркестан +10
У
Уральск +19
Усть-Каменогорск +18
Ш
Шымкент +27

 

Редакция Реклама
Социальные сети