Новости по теме Наука

Хантавирус под микроскопом. © Reuters В Сибири найден редкий вид хантавирусов Российские ученые и специалисты центра вирусологии "Вектор" обнаружили в Томской области редкий и малоизученный хантавирус Аltai, который вызывает
04 июня 2020 05:21
© Reuters Ученый предупредил о новом "апокалиптическом" вирусе Американский ученый и доктор Майкл Грегер заявил, что пандемия коронавируса всего лишь цветочки по сравнению с новым "апокалиптическим" вирусом,
01 июня 2020 04:05
Георгий Ксандопуло и Тулеген Тажибаев. Коллаж TengriMIX Из спецпереселенца в ученого: как экс-министр КазССР помог репрессированному греку Депортация, или насильственное переселение, - одна из самых трагичных страниц в истории многих народов, населяющих Казахстан. Сюда в 30-40-е
31 мая 2020 09:04
© Reuters Иммунитет к коронавирусам исчезает через полгода - ученые Выработанный к коронавирусу иммунитет может исчезнуть всего через полгода, заявили ученые из Университета Амстердама в своем исследовании. Об
29 мая 2020 07:58
Коллектив ученых Национального исследовательского технологического университета МИСиС.  Фото: Сергей Гнусков/НИТУ МИСиС Создан самый термостойкий материал в мире Российские ученые из Национального исследовательского технологического университета МИСиС разработали керамический материал с самым высоким
29 мая 2020 06:10
© Reuters Определена самая благодатная погода для заражения коронавирусом Китайские исследователи из Университета Ланьчжоу выяснили, что 60 процентов подтвержденных случаев заражения коронавирусом в мире произошли
28 мая 2020 21:50
Фото : Kyoto University© Японские ученые представили новую периодическую таблицу элементов Ученые из Киотского университета представили периодическую таблицу элементов, которая, в отличие от таблицы Менделеева, где за основу взяты
28 мая 2020 04:21
Уханьский институт вирусологии. © Asia Times Вирусы, найденные Уханьской лабораторией, оказались лишь "вершиной айсберга" Вирусы, обнаруженные на сегодняшний день в Уханьском институте вирусологии, являются лишь "вершиной айсберга". Нужно продолжать их исследование,
26 мая 2020 07:58
© Reuters Коронавирус остановит вакцинация 95 процентов населения - эпидемиолог Остановить эпидемию вируса с воздушно-капельным механизмом передачи может только вакцинация с широким охватом населения. Об этом "Парламентской
25 мая 2020 22:23
Фото REUTERS Первые американцы оказались "коренными" сибиряками - исследование Первые коренные жители Северной Америки сами были переселенцами и вышли из российской Сибири, сообщили немецкие ученые, передает Tengrinews.kz.
24 мая 2020 19:51
© Reuters Названы болезни, повышающие риск смерти от коронавируса Пациенты с хроническими заболеваниями печени, в частности циррозом, чаще других умирают после заражения коронавирусом. Об этом говорится в исследовании,
23 мая 2020 02:50
© ESA В магнитном поле Земли образовалась аномальная брешь Магнитное поле Земли постепенно ослабевает, особенно быстро это происходит на участке, расположенном от Африки до Южной Америки. Аномальную
22 мая 2020 22:03
Фото:elements.envato.com Ученые научились контролировать разум обезьян Американские ученые из университета Юты и Стэнфордского университета, научились контролировать действия макак с помощью ультразвуковых волн,
21 мая 2020 12:20
Фото:sciencenews.org Зародыш мыши с человеческими клетками создали ученые Американские биологи создали химерные зародыши человека и мыши, передает Tengrinews.kz со ссылкой на Science News.
20 мая 2020 11:46
© Reuters Зафиксирован необычный случай передачи COVID-19 человеку В Нидерландах на звероводческой ферме зарегистрирован случай передачи коронавирусной инфекции от норки (хищное млекопитающее из семейства куньих
20 мая 2020 08:17
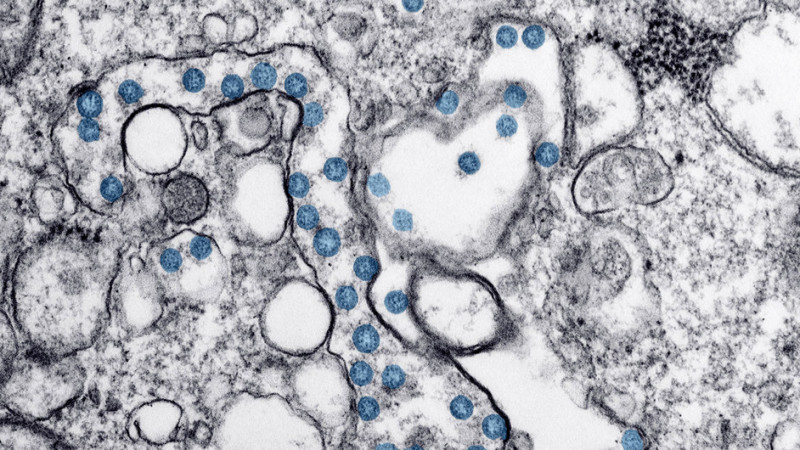
© Reuters На устойчивый и длительный иммунитет к COVID-19 просят не рассчитывать Люди, переболевшие коронавирусом, вряд ли могут рассчитывать на формирование устойчивого, длительного иммунитета к COVID-19. Такое мнение в
20 мая 2020 01:26
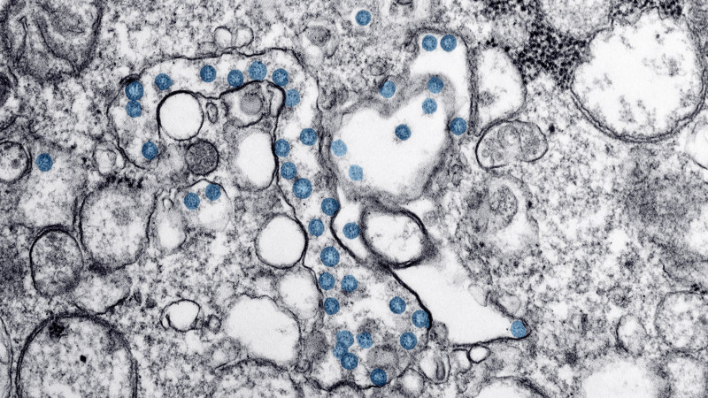
© Reuters Уханьская лаборатория обнаружила в летучих мышах "вселенную коронавирусов" Сотрудница Уханьского института вирусологии (КНР) Ши Чжэнли обнаружила в организмах летучих мышей свыше тысячи различных видов коронавируса.
19 мая 2020 20:33
Иллюстрация: Руайрид Дункан Останки редкого динозавра-вегетарианца обнаружили в Австралии В австралийском штате Виктория волонтер обнаружил ископаемые останки редчайшего беззубого динозавра - элафрозавра, который обитал на этой территории
19 мая 2020 13:54
Иллюстративная фото с сайта noyabrsk24.ru Ученый из Таджикистана будет тестировать препараты против COVID-19 в Великобритании Выходец из Таджикистана и выпускник Оксфордского университета Бободжон Назаров приступает к тестированию двух препаратов против COVID-19. Используемые
19 мая 2020 09:37
фото: pixabay.com В Южной Корее нашли способ лечения облысения Южнокорейские ученые-медики провели клиническое исследование эффективности лечения облысения средством, полученным из белков, выделяемых стволовыми
18 мая 2020 19:55

Курс валют

 469.92   546.77   6.43 

 

Погода

Алматы
А
Алматы +23
Астана +22
Актау +17
Актобе +27
Атырау +25
Б
Балхаш +27
Ж
Жезказган +21
К
Караганда +22
Кокшетау +28
Костанай +30
Кызылорда +14
П
Павлодар +21
Петропавловск +15
С
Семей +23
Т
Талдыкорган +22
Тараз +30
Туркестан +27
У
Уральск +15
Усть-Каменогорск +32
Ш
Шымкент +23

 

Редакция Реклама
Социальные сети